- その他
- 歯科コラム
- スタッフブログ
京田辺市・精華町で「親知らずの抜歯が難しい」と言われたら?痛み・腫れ・紹介基準まで徹底解説
こんにちは。京田辺市花住坂のあゆみ歯科クリニック京田辺の院長、大毛です。本日は、「京田辺市・精華町で「親知らずの抜歯が難しい」と言われたら?痛み・腫れ・紹介基準まで徹底解説」について、皆様にわかりやすくご説明いたします。
親知らずの抜歯について「難しい」と言われたとき、多くの方が不安や疑問を感じられると思います。痛みはどの程度なのか、本当に抜かないといけないのか、他の病院に紹介されるのかなど、気になる点は多いものです。本記事では、そのような疑問を一つひとつ丁寧に解説し、安心して治療に臨めるようサポートいたします。
目次
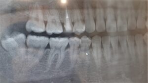
親知らずの抜歯が「難しい」と判断される主な理由
親知らずの抜歯が難しいとされる理由は、歯の位置や生え方、周囲の組織との関係にあります。親知らずは一番奥に生えるため、スペースが不足しやすく、まっすぐに生えないことが多いのが特徴です。横向きや斜めに埋まっている場合、歯ぐきを切開したり、歯を分割して取り出す必要があるため、処置の難易度が上がります。
さらに、下顎の親知らずでは、神経や血管が近接しているケースがあります。この神経に影響を与えないよう慎重に処置する必要があるため、より高度な技術と診断が求められます。また、骨の硬さや口の開き具合、炎症の有無なども影響します。
これらの要因が重なることで「難しい」と判断されるのですが、適切な検査と計画を立てることで、安全に対応できるケースも多くあります。重要なのは、状態を正確に把握し、適切な方法を選択することです。
痛みや腫れはどのくらい?抜歯前後のリアルな経過
抜歯に対して多くの方が不安に感じるのが痛みや腫れです。実際のところ、処置中は麻酔を使用するため、強い痛みを感じることはほとんどありません。むしろ気になるのは、抜歯後の腫れや違和感です。
腫れの程度は個人差がありますが、特に骨を削る処置が必要な場合は、数日間腫れが出ることがあります。通常は2日目から3日目にピークを迎え、その後徐々に落ち着いていきます。適切な冷却や安静を保つことで、症状を軽減することが可能です。
痛みについても、処方される鎮痛薬で十分にコントロールできる場合がほとんどです。また、近年ではできるだけ負担を軽減する治療技術が進んでおり、以前よりも快適に治療を受けられる環境が整っています。
事前に経過を理解しておくことで、過度な不安を感じることなく治療に臨むことができます。
見逃せないリスクとその予防策について
親知らずの抜歯には一定のリスクが伴いますが、正しく理解することで不安を軽減することができます。代表的なものとして、神経への影響による一時的なしびれや、抜歯後の感染、ドライソケットなどが挙げられます。
特に神経に近い場合は、事前にCT撮影などで位置関係を確認し、リスクを評価します。このような検査を行うことで、安全性を高めることが可能です。また、術後の過ごし方も重要であり、強いうがいや飲酒、激しい運動を控えることでトラブルを防ぐことができます。
ドライソケットは、血のかたまりがうまく形成されないことで起こりますが、適切なケアを行うことで予防が可能です。歯科医師の指示を守ることが、回復を早めるポイントとなります。
リスクはゼロではありませんが、適切な対応により最小限に抑えることができます。正しい知識を持つことが、安心につながります。
他院紹介になるケースとその判断基準とは

親知らずの状態によっては、より専門的な医療機関へ紹介されることがあります。これは決して珍しいことではなく、安全性を最優先に考えた判断です。
例えば、神経との距離が非常に近い場合や、大きく骨に埋まっているケースでは、大学病院や口腔外科専門医での対応が望ましいとされます。また、全身的な疾患がある場合や、複雑な外科処置が必要な場合も、紹介の対象となることがあります。
紹介されることで不安に感じる方もいらっしゃいますが、これはより安全に治療を行うための選択です。現在では医療機関同士の連携も進んでおり、スムーズに治療を受けることができます。
大切なのは、自分の状態に最適な環境で治療を受けることです。そのためにも、歯科医師の説明をしっかり理解し、納得した上で進めることが重要です。
まとめ|安心して親知らず治療を受けるために
親知らずの抜歯が「難しい」と言われた場合でも、その理由を正しく理解することで、不安は大きく軽減されます。多くの場合は、歯の位置や周囲の状態によるものであり、適切な診断と処置によって安全に対応することが可能です。
痛みや腫れ、リスクについても事前に知っておくことで、落ち着いて治療に臨むことができます。また、必要に応じて専門機関へ紹介されることも、安全性を高めるための重要な判断です。
当院では、精密な検査と丁寧なカウンセリングを大切にし、患者様一人ひとりに合わせた治療方針をご提案しています。難しいと判断された親知らずについても、可能な限り院内で対応し、必要に応じて適切な医療機関と連携を行っています。安心してご相談いただける環境を整えておりますので、不安なことがあればお気軽にご相談ください。
以上、京田辺市花住坂のあゆみ歯科クリニック京田辺の院長、大毛でした。









